
金属の詰め物、黄ばんだ歯…。
白い歯に代えて、素敵な笑顔を。
美しく白い歯は健康的でさわやかな印象を与えます。虫歯にならないようにしっかりと予防することが大切です!!もしも虫歯になってしまったら、ほとんどの場合、削らなければその虫歯を治す事はできません。
小さな虫歯であれば保険でも白い詰めもので修復することが出来るのですが、その虫歯が広範囲に及んでしまうと金属で修復しなければならなくなってしまいます。とくに下の歯に金属が入ると、その金属はどうしても目立ってしまいがちです。

奥歯で歯と歯の間に虫歯を作ってしまった場合、その多くの場合は金属で修復します。
まず、虫歯を削って型を取ります。
![]()

金銀パラジウム合金を使用します。強度は十分にありますが、審美性に劣ります。保険で治療をする唯一の方法です。
![]()

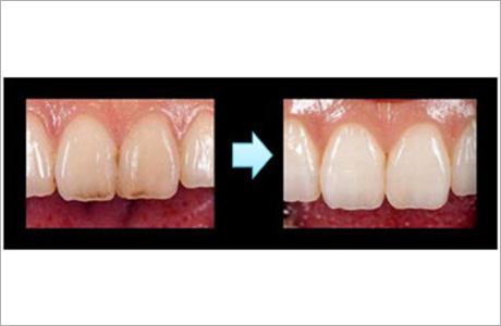
オールセラミックス。セラミックスのみで製作し天然歯に最も近い。
強度…◎ 自然観…◎ 耐変色…◎
施術名
オールセラミックス
施術の説明
金属を一切使用せず、全てセラミック素材で製作されるクラウン(被せ物)治療です。セラミックならではの透明感や光沢により、天然歯に非常に近い審美性を実現します。また、優れた耐変色性と高い耐久性を備えているため、長期にわたって美しい外観が保たれ、前歯や奥歯など、審美面が重視される部位での使用に適しています。
施術の副作用(リスク)
セラミック部分が欠けたり外れたりする可能性があります。まれに、麻酔使用時に腫れやむくみを生じる場合があります。また、噛み合わせの変化や違和感が一時的に生じる可能性があります。金属を使用しないため金属アレルギーのリスクはありませんが、個別の体質により予期せぬ症状が現れる場合があります。
施術の価格
お問い合わせください
一度入れた保険の銀歯を自費の白い歯に変えることも可能です。

虫歯が神経まで達する程に進行してしまった場合、神経を取り除き、大きな金属を被せて修復します。
歯の根っこの治療を施した後に、その歯を補強して、更に全体を被覆する冠を被せて修復します。
![]()


・前歯(保険)
前歯を保険で修復する場合は表面を白いプラスチックで被ったものを被せます。自然な白さを出すのが困難で、時間が経つと変色して黄ばんでしまうのとかけやすいのが欠点です。


・臼歯(保険)
臼歯を保険で修復する場合は、強度を重視し全体を金属で被覆したものを被せます。材質は金銀パラジウム合金を使用し、強度は十分にありますが審美性は損なわれます。
※小臼歯部に限りCAD/CAMと呼ばれる白いかぶせ物が保険適用されます。
![]()

・ハイブリットセラミックス
安価に白い歯を入れる場合に用いられる。
強度…△ 自然観…× 耐変色…△
施術名
ハイブリットクラウン
施術の説明
ジルコニアを内側に使用し、外側にセラミックを焼き付けたクラウン(被せ物)治療です。ジルコニアの高い強度とセラミックの自然な審美性を兼ね備えており、前歯や奥歯など幅広い部位に使用可能です。
施術の副作用(リスク)
ジルコニアやセラミック部分が欠けたり外れたりする可能性があります。まれに、麻酔使用時に腫れやむくみを生じる場合があります。また、噛み合わせの変化や違和感が一時的に生じる可能性があります。金属を使用しないため金属アレルギーのリスクはありませんが、個別の体質により予期せぬ症状が現れる場合があります。
施術の価格
43,200円

・メタルボンド
金属の周りをセラミックスで被った冠。
強度…〇 自然観…〇 耐変色…◎
施術名
メタルボンド
施術の説明
メタルボンドは、金属の基盤にセラミックを被せることで、金属の高い強度とセラミックの自然な審美性を両立した治療法です。金属部分がしっかりとした支持力を提供するため、特に咬合力のかかる部位での使用に適しており、セラミックの外観により、自然な見た目も実現します。また、耐変色性に優れているため、長期間にわたって美しい外観が保たれるのが特徴です。
施術の副作用(リスク)
• セラミック部分が欠けたり、摩耗するリスクがあります。
• 歯茎の退縮などにより、金属部分が露出する可能性があり、見た目に影響を及ぼす場合があります。
• ごくまれに金属に対するアレルギー反応が起こる場合があります。
• 装着後、一時的な噛み合わせの違和感や調整が必要となることがあります。
施術の価格
86,400円 ~ 97,200円

・オールセラミックス
金属を一切使わず、すべてセラミックで作られた最も天然歯に近い冠。
強度…〇 自然観…◎ 耐変色…◎
施術名
オールセラミックス
施術の説明
ジルコニアを内側に使用し、外側にセラミックを焼き付けたクラウン(被せ物)治療です。ジルコニアの高い強度とセラミックの自然な審美性を兼ね備えており、前歯や奥歯など幅広い部位に使用可能です。
施術の副作用(リスク)
ジルコニアやセラミック部分が欠けたり外れたりする可能性があります。まれに、麻酔使用時に腫れやむくみを生じる場合があります。また、噛み合わせの変化や違和感が一時的に生じる可能性があります。金属を使用しないため金属アレルギーのリスクはありませんが、個別の体質により予期せぬ症状が現れる場合があります。
施術の価格
118,800円

綺麗な白い歯は清潔感があり、好印象を与えます。
ホワイトニングとは歯を削ることなく天然歯の本来の白さを引き出すものです。
ホワイトニングの効果には個人差がありますが、元々の歯の色が濃い人や、変色してしまっている人などは
ホワイトニングの効果が出にくいと言われています。
施術名
ホワイトニング
施術の説明
歯の表面に専用の薬剤を塗布し、光や熱を利用して歯を漂白する施術です。歯の色素沈着や黄ばみを改善し、自然で明るい白い歯を実現します。当院では、クリニックで行うオフィスホワイトニングと、自宅で行うホームホワイトニングの両方をご提供しています。
施術の副作用(リスク)
施術後、一時的に知覚過敏や歯の痛みが生じることがあります。また、薬剤が歯肉に付着した場合に炎症や痛みが生じる可能性があります。歯の色や効果の持続期間は個人差があります。既存の詰め物や被せ物の色は変わりません。
施術の価格
16,500円-80,850円

ラミネートべニアとは、歯の表面を一層だけ削り、そこに薄いセラミックスを接着させる方法です。セラミックスは天然歯と見た目が分からない質感を持ち、色を自由に選ぶ事が出来ます。
また、ホワイトニングや保険の白い材料と違い変質しないので、綺麗な見た目がいつまでも変わりません。歯を白くしたい方、歯の隙間を改善したい方、歯の形を改善したい方におすすめです。
施術名
ポーセレンラミネートべニア
施術の説明
歯の表面をわずかに削り、薄いセラミック製の板を貼り付けることで、歯の色や形状、歯並びを美しく整える施術です。歯の隙間や変色、軽度の歯並びの改善に適しています。自然な見た目と滑らかな仕上がりが特徴です。
施術の副作用(リスク)
歯を削る過程で一時的に知覚過敏が生じる場合があります。ベニアが欠けたり外れたりするリスクがあります。経年により接着部分の変色が生じることがあります。また、個々の歯の状態によって適用できない場合があります。麻酔使用時に腫れやむくみが起こる可能性があります。
施術の価格
129,600円
| ハイブリットインレー | 21,600円 |
|---|---|
| ハイブリットクラウン ハイブリットクラウンMF |
43,200円 |
| メタルボンド メタルボンドMP |
86,400円 97,200円 |
| オールセラミックス | 118,800円 |
| ポーセレンラミネートべニア ホームホワイトニング ファイバーコア |
129,600円 21,600円 10,800円 |
施術名
ファイバーコア治療
施術の説明
根管治療後の歯を補強するために、グラスファイバーを主体とした土台を装着する治療です。メタルコアよりも歯質に近い弾性を持ち、歯根破折のリスク低減や審美性向上が期待できます。
施術の副作用(リスク)
歯根破折の可能性:強い咬合力などが加わると破折リスクがあります。
接着不良による脱離:治療工程や口腔内の湿度管理などが不十分な場合、コアが外れる可能性があります。
アレルギー反応:使用する接着剤・レジンに対してごく稀にアレルギーが生じる場合があります。
施術の価格
10,800円