※矯正前・矯正後の写真は現在準備中です。
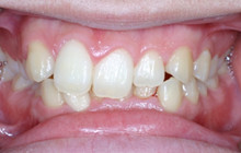
歯が重なり合っている状態を叢生(八重歯・乱くい歯)と言います。
歯ブラシがゆきとどかず汚れが残りやすいので、ムシ歯・歯周病・口臭の原因になります。

上と下の歯並びの真中がズレている状態を言います。
笑った時に違和感がありますし、下顎が横にズレている場合もあります。

下の歯が上の歯より前に出ているかみ合わせを反対咬合(うけ口)と言います。
食べ物がよく噛めないだけでなく、聞き取りにくい話し方になります。また、矯正により顔つきも改善できる場合があります。

上の歯が前に出ている咬み合わせを上顎前突(出っ歯)と言います。
歯が出ていると、折れたり唇を切ったりしやすく見た目も良くありません。
歯と歯の間に隙間がある状態を言います。
乳歯の時期は隙間があっても良いのですが、永久歯の場合は咬み合わせも不安定ですし、見た目も良くありません。